垂体瘤,是颅内最常见的神经内分泌肿瘤,可引起患者头痛、视力下降、内分泌异常等症状。尽管是良性肿瘤,切除即可,但很多垂体瘤的生长具有侵袭性,一旦出现垂体瘤侵袭到海绵窦,对于患者和医者来说都可能面临“灾难性”的后果:不是肿瘤残留最终复发,就是颈内动脉破损出现致命后果。尤其是当垂体瘤侵袭海绵窦的Knosp分级达到4级时,意味着术者已经迈进了禁区中的禁区。
不断完善改进策略 突破禁区
据吉大三院副院长、神经外科主任高宇飞教授介绍,垂体瘤侵袭海绵窦的Knosp分级达到4级时,垂体瘤将包绕颅内大动脉——颈内动脉,切除肿瘤的过程,危机四伏。除此之外,海绵窦内还穿行有支配眼球运动的动眼神经、滑车神经、外展神经和三叉神经,任何的损伤都将导致严重的神经功能障碍。
医院颅底疾病诊疗团队在高宇飞教授的带领下,从颅底实验室“内镜下海绵窦区的解剖研究”开始,不断探索,精益求精,并结合临床病例,不断完善改进手术技术和策略。终于,海绵窦在该院不再是手术的“禁区”。
反复讨论仔细评估 迎难而上
日前,50岁的患者王女士慕名找到高宇飞教授,家属的信任和强烈的手术意愿,让高宇飞教授毅然带领颅底疾病诊疗团队接下了这个重任。
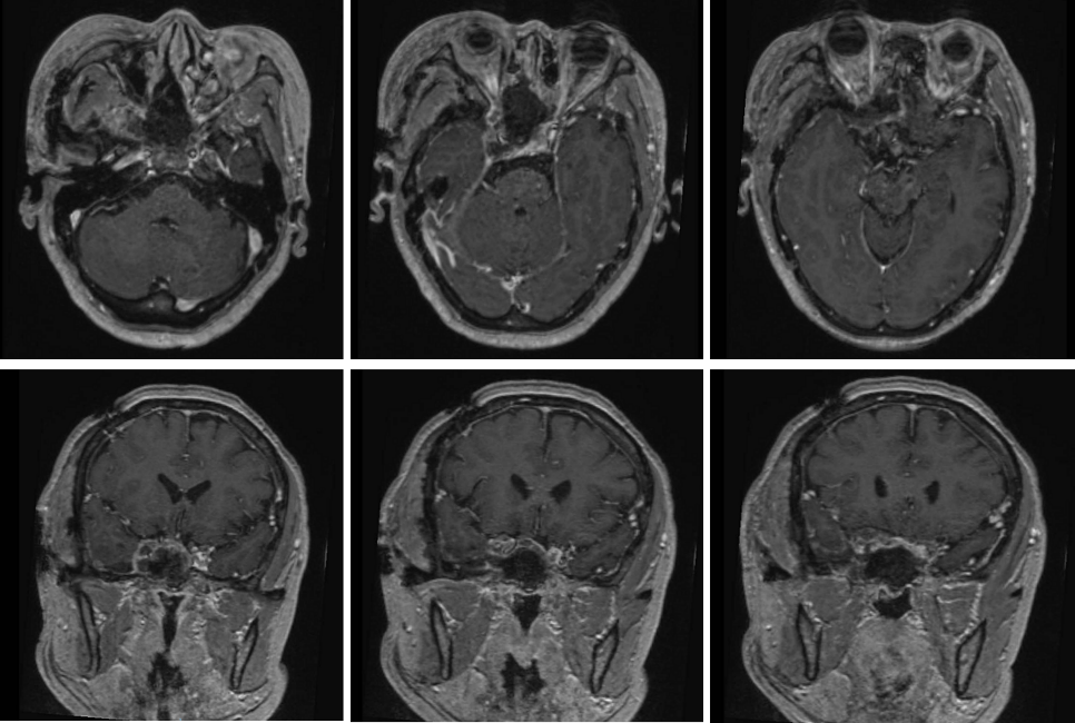
王女士因垂体瘤分别于2007年和2017年两次在外院由北京专家进行经鼻垂体瘤手术,2017年因肿瘤侵袭海绵窦未能全切,术后行伽玛刀治疗。近一个月,王女士开始出现右眼视力下降的情况,并且伴有头痛。王女士在其他医院进行头部MRI检查,显示垂体瘤复发,已广泛侵袭海绵窦并包绕颈内动脉,Knosp分级达到4级!
高宇飞教授通过详细了解病史和仔细阅片后,为患者认真分析了目前的病情及手术风险,并带领团队反复讨论、仔细评估。
病变已经广泛侵袭,单纯采用以往的术式(经鼻入路或经颅入路)均难以全切肿瘤,并且颈内动脉损伤的风险极大。如何将颈内动脉损伤风险降到最低,又能尽可能全切肿瘤?团队经过充分讨论,决定采用3D外视镜和神经内镜联合,经颅入路和经鼻入路联合一起切除肿瘤。
6个小时艰苦奋战 “双管齐下”
3月20日,吉大三院副院长、神经外科主任高宇飞教授,副主任医师赵航带领神经外科颅底疾病诊疗团队,在神经导航引导、双镜辅助下,经颅入路和经鼻入路联合进行复发侵袭海绵窦Knosp 4级垂体瘤切除术。首先,在神经内镜下经鼻手术,采用经筛翼蝶入路,切除蝶窦、筛窦、鞍内、海绵窦内的大部分肿瘤,显露颈内海绵窦段并加以保护。 然后开颅采用经典的Dolence入路,在3D外视镜下,切除海绵窦内颈内动脉外侧间隙和上间隙的残余肿瘤。

在麻醉科和手术室精心配合下,经过近6个小时的奋战,手术顺利完成,肿瘤全部切除。术中颈内动脉海绵窦段达到360度的显露,在可视下得到完好保护;术后第2日患者正常饮食,无任何神经功能损伤及活动障碍。手术取得圆满成功!

这例手术的成功,标志着吉林省神经内镜垂体瘤手术技术实现了新的突破,迈上了一个新的台阶。
中国吉林网 吉刻APP 记者 越明
图片由医院提供

