近日,吉大三院病理科成功诊断一例罕见肺占位。
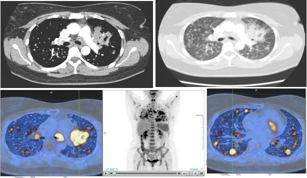
患者为一名双肺多发占位的年轻女性患者,曾在当地医院就诊20余天未能明确诊断,转诊于吉大三院肺癌多学科团队胸外科二病区寻求治疗方案。经过肺癌多学科会诊和详细的入院检查,考虑为恶性肿瘤,首先行肺穿刺活检明确诊断。但异常的是,穿刺组织呈现炎性改变,显微镜下满是脓细胞。当临床诊断和病理初步诊断不符时,就是考验病理医生诊断水平和责任担当的时刻。

吉大三院病理科王学菊医生团队在详细掌握了患者所有临床资料的同时,不断尝试打破惯性思维,认真梳理了所有可能以炎性病变为假象的恶性肿瘤。同时针对有限且宝贵的穿刺组织标本,谨慎选择免疫组化抗体,既要避免检测过程中组织量难以支撑完成最终的定性和分型诊断,也要避免炎性和坏死背景中抗体假阳性着色造成的误导。在取得了一些线索后,王学菊医生和患者家属进行了电话沟通,详细询问患者的基本情况。
“患者皮肤上是否有红斑?”这一问题令患者的丈夫感到好奇,生病这么久,关注的重点一直在患者肺部是否有肿瘤,从未关注过皮肤的问题。经详细确认,患者皮肤上确实存在红斑,皮肤红斑的存在,为这次诊治带来了转机。
经过查阅大量文献,吉大三院病理科做出了ALK阳性间变性大细胞淋巴瘤(ALK+ALCL)伴中性粒细胞增多的最终诊断。因为此病例形态非常罕见,为确保诊断的正确性,病理科又协助家属得到了北京该领域专家周小鸽教授对ALK阳性间变性大细胞淋巴瘤诊断的认可。至此,终于找到了治疗方向,患者及家属重燃了希望,积极投入治疗中。
淋巴造血系统肿瘤素有“隐形杀手”之称,极容易误诊为炎症性病变。准确的病理诊断是精准治疗的先决条件,关乎患者整个家庭的希望和未来。本次能够成功诊断极高难度的淋巴瘤病例绝非偶然,而是吉大三院病理科团队多年来深耕不辍最真实的写照。每一例疑难病例的诊断,都需要经历在纷繁复杂的形态谱系中抽丝剥茧,在众多疾病表象中条分缕析、方能确定最后的真相。诊断过程惊心动魄,结果则是行云流水、刻画入微。

吉大三院病理科依托医院强大的外科优势,积累了丰富的外科病理诊断经验;凭借医院强大的超声介入、内镜中心,PETCT及影像学等平台,积累了大量小活检标本诊断经验;凭借医院强大的甲状腺、皮肤专科优势,积累了大量的细胞学和皮肤病理诊断经验;凭借医院强大的肿瘤学专科优势,积累了丰富的细胞蜡块诊断经验。
中国吉林网 吉刻APP
记者 越明
图片来源:吉大三院

