近日,吉林大学第一医院儿童医院儿外科副主任赵继学、主治医师董宁顺利完成吉林省首例全腹腔镜下胃十二指肠巨大毛石取出术。
患儿为11岁女童,2个月前因“嗳气、腹胀及食欲不佳”就诊于吉大一院,经腹部彩超检查提示胃内巨大异物,考虑是毛发来源,且胃内巨大毛石已延伸至十二指肠,胃内多发溃疡,内镜下无法将胃毛石取出,建议手术治疗。

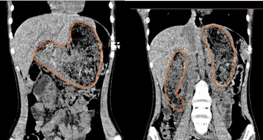
传统的剖腹胃切开取石手术虽能完整取出毛石,但手术创伤较大,对患儿的身体及心理可能产生不良影响。患儿术前CT检查发现毛石充满整个胃腔,且延伸至十二指肠降部,毛石形状不规则,呈横“Z”字形,大小约42厘米×7厘米×6.5厘米。为保证患儿身心健康,团队知难而进,选择了更为微创的腹腔镜手术方式。

术前,团队进行了详尽准备和周密计划。术中,赵继学、董宁凭借丰富的经验和精湛的技术,克服了毛石巨大、不规则、取出困难等难题,历时5.4小时成功将毛石分次取出。术后,患儿恢复良好,无并发症。同时,董宁还为患儿及家长科普了异食癖的危害,帮助患儿树立正确的饮食观念。

据介绍,毛石,即“毛发性胃石”,是一种罕见的病症,通常与精神障碍有关,如拔毛癖、食毛癖。患者因无法自控地拔除并摄入自身毛发,导致毛发在胃内凝结成异物。随着时间推移,毛发团逐渐增大,可引起腹痛、呕吐、消化不良以及肠梗阻等临床症状。该院儿外科医生提示,若家长发现孩子存在异食癖症,应尽早到医院诊疗。早发现、早治疗,可避免严重不良后果。同时,针对有异食癖的孩子,应该给予更多的关爱和看护,避免采取暴力手段进行干预,而应耐心引导,并在必要时寻求专业心理治疗。
中国吉林网 吉刻APP
记者 越明
图片由医院提供
编辑: 赵鹏 吉网新闻热线:0431-82902222

