近日,吉林大学第二医院神经外科(自强院区)郭永川教授团队在张承巍副主任麻醉团队、手术室护士精心配合以及神经外科(自强)护理团队悉心护理下,为一名83岁高龄患者成功实施显微镜下眶颧入路颅底肿瘤切除术。手术不仅彻底切除了累及左侧眶内、蝶骨、海绵窦、颞叶的复杂肿瘤,更重要的是完整保护了患者的视觉功能,充分展现了吉大二院在高龄患者复杂颅底手术领域的技术实力。

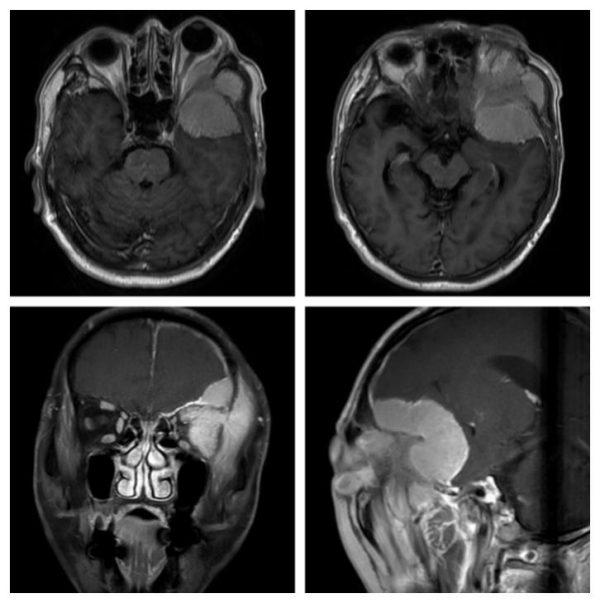
中国吉林网了解到,83岁的林大爷(化名),在例行体检中意外发现左侧颅底有占位性病变。患者有多年高血压及脑血栓病史,这次发现的肿瘤位置特殊,已累及左侧眶内、蝶骨、海绵窦和颞叶等多个重要区域。更令人担忧的是,肿瘤与视神经等颅内神经紧密相连,直接威胁患者的健康。
患者年龄大,手术风险高,肿瘤位置复杂,涉及多个关键结构,与视神经关系密切,保护视力难度大。面对如此复杂的病例,吉大二院立即组织了多学科联合会诊。神经外科、麻醉科、放射科、眼科等多个科室的专家共同为林大爷制定了精准的手术方案。经过周密计划,决定采用显微镜下眶颧入路进行手术,这一技术可以最大限度地保护脑组织和眼眶内组织。张承巍副主任带领的麻醉团队针对高龄患者的特点,制定了个性化的麻醉方案,确保手术全程安全。


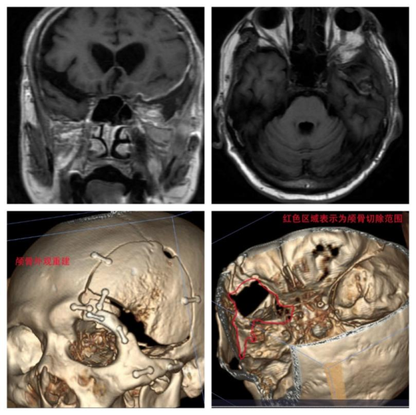
按照先拆除眼眶顶壁和外侧壁、再磨除被肿瘤侵蚀的蝶骨和眶壁,继而切除眼眶内肿瘤,颞下窝肿瘤,最后切除脑内肿瘤的顺序,显微操作团队历经十几个小时成功完整切除了直径超过5厘米的复杂颅底肿瘤,同时精确重建了手术区域的解剖结构。整个过程对高龄患者和医生都是极大的挑战。
术后检查显示,不仅肿瘤被彻底切除,更重要的是,林大爷的视力完好。这一结果大大超出了家属的期望。
神经外科(自强)护理团队为林大爷提供了细致周到的护理服务。从基础生命体征监测到心理疏导,再到康复指导,神经外科(自强)护理团队的专业和温暖陪伴了林大爷整个康复过程。
术后3个月复查时,林大爷已能完全自理生活,他特意来到医院感谢医护团队:“没想到我这把年纪还能承受这么大的手术,更没想到手术效果这么好。真心感谢你们”。
吉大二院此次手术突破年龄限制,证明在精细化管理下,高龄不再是复杂手术颅底手术的绝对禁忌。
中国吉林网 吉刻APP
记者 越明
图片由医院提供
